Case Study
Rebuilding a
Decoronated Tooth
Digital mirroring and 3D printing in conservative canine restoration

Patient concern
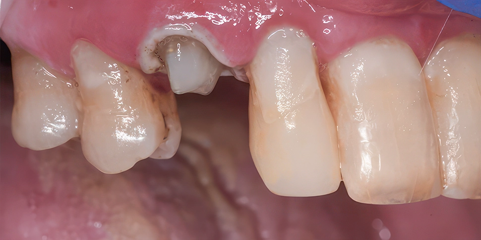
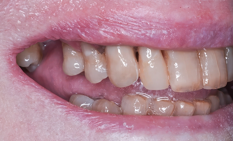
One of our long-term patients, a lively 90-year-old lady, came to us after breaking her upper right canine. The tooth had fractured right at the gumline (decoronated), yet it was still healthy and causing her no pain. What did stand out, however, was the tooth’s very dark colour, which she was also keen to address.

Treatment planning
Taking into account her age, overall oral health, and what she felt most comfortable with, we decided on a less invasive and conservative approach. Instead of removing the tooth and considering options like a denture or implant, we planned to restore it using a digitally designed, 3D-printed crown. This allowed us to preserve her natural tooth while giving her a solution that felt straightforward and comfortable.
Procedure
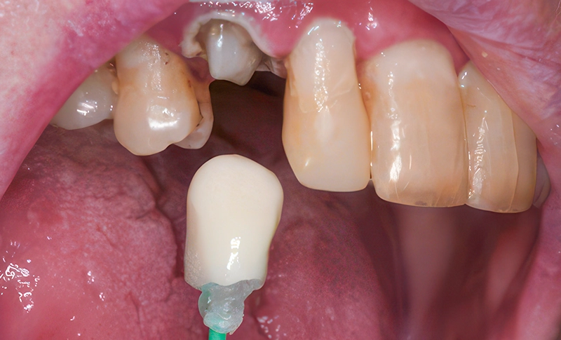
1. Digital scan – A detailed scan of the patient’s teeth, including the decoronated upper right canine, was taken to create an accurate model.
2. Design – The shape of the upper left canine was mirrored digitally to design the restoration, ensuring balance and a natural match.

3. 3D printing – The crown was printed using Onxtough 2.0 resin in a base A1 shade.


Test fit of 3D-printed crown before characterisation.

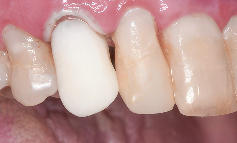
4. Characterisation – To achieve a lifelike appearance, layers of colour were added, including subtle tones of brown and grey, a touch of honey and blue, and fine white highlights to mimic natural enamel translucency.
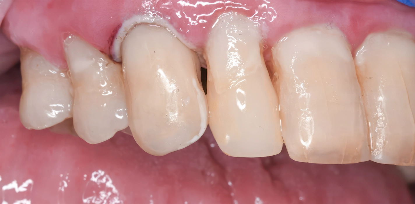
5. Placement – As the tooth was still vital and the patient remained comfortable, the restoration was placed without the need for local anaesthesia.
Outcome
The restoration was placed securely and blended in well with her other teeth. Its shape and colour closely mirrored the opposing canine, helping maintain both function and appearance. Overall, it settled comfortably into her bite and integrated smoothly with her existing dentition.

A conservative, modern approach to restoring a broken tooth
This case shows how digital tools and 3D printing can be applied to manage a challenging restoration in a straightforward, minimally invasive way. We scanned her healthy canine tooth on the left side and used it as a mirror image to design the crown for the broken tooth on the right. That way, the new tooth matched her natural one perfectly in shape and balance. Carefully layered resin tints introduced natural colour variation and helped it blend in with the surrounding teeth. This approach avoided the need for anaesthetics or extensive preparation, making it particularly well-suited to the needs of an elderly patient.
* This case is presented for educational purposes only. Outcomes, treatment options, and suitability will vary for each individual. A personalised consultation with a dental professional is necessary to determine the most appropriate care for your situation.
